A 65 year old man is brought to A & E department by his son on a wheel chair.
He is having difficulty in breathing since 4 days and according to his son he had attended a social gathering 8 days ago. After wards he had been complaining of a sore throat for 2 days and increasing weakness and had fever as well. The son also says he was given some medications including panadol and other medicine for his fever and sore throat by a local doctor but he is not able to exactly inform which medications were given.
On examination ,the patient appears drowsy and weak. His BP is 100 /60 mmHg.
His Oxygen saturation is 78 % on air
Respiratory rate is 25 / min
Pulse 110/min
Chest auscultation reveals bilateral crepitations.
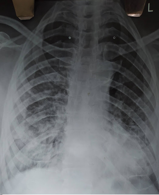
You organize a portable X- ray chest which is shown below .
1 .What further investigation will you perform?
2. What is the most likely diagnosis?
3. How will you manage this patient ?
Answers given in comments section.
Copyrights reserved with the author,
1. What further investigation will you perform?
FBC , CRP , Covid 19 PCR Testing Serum Ferritin , Procalcitonin, IL6 , LDH , Arterial Blood Gases. Renal profile and Liver profile
HRCT / high resolution CT of lungs ( May show crazy paving and ground glass appearance ).
2 .What is the most likely diagnosis?
Severe ARDS secondary to SARS-COVID. The history is suggestive of Covid -19 associated Acute Respiratory Distress Syndrome and Chest X -ray is also strongly suggestive of SARS Covid ARDS.

No comments:
Post a Comment